La Subsecretaría de Defensa ha estimado el recurso elevado por el Agente destinado en Barbate (Cadiz), donde se reclamaba un importe a la aseguradora ASISA que completase la cobertura económica de las intervenciones bucales.
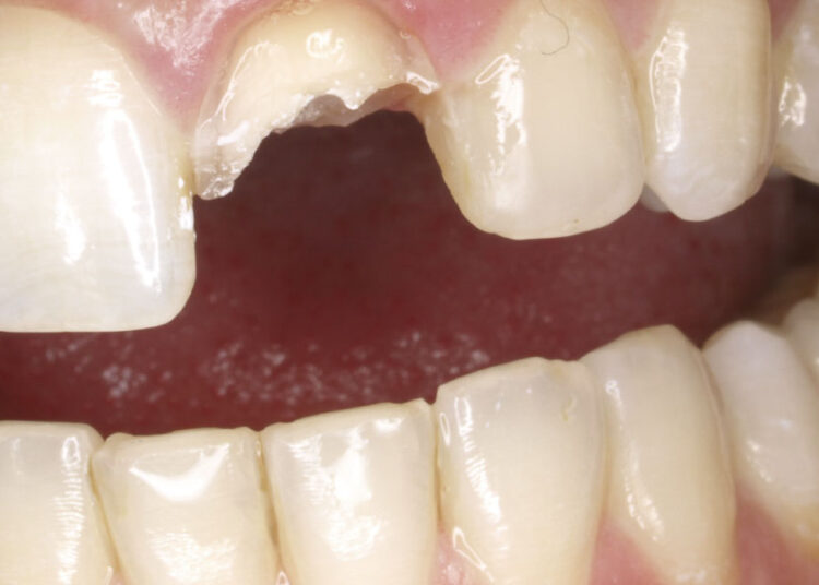
Los hechos se remontan a Agosto de 2020, cuando el Agente reclamante sufre, en acto de servicio, una agresión por parte de un ciudadano británico que le supuso la pérdida de una pieza dental y la rotura de otras dos. Esta situación fue acreditada en los posteriores informes médicos.
La entidad aseguradora, reclamó al Agente que le enviase varios presupuestos, aceptando uno de ellos pero en cuantía de 1000 euros, no dando una cobertura total al presupuesto ya que según ellos no se encontraba probado que los otros daños dentales se debieran a las lesiones.
Realiza la intervención se interpuso una primera instancia que no fue aceptada por la Delegación del ISFAS en Cadiz, pero que posteriormente ha sido aceptada en alzada en la Subsecretaría de Defensa.
Cabe reseñar que el agresor, pocos días después de estos hechos asesinó a su pareja y se suicidó chocando frontalmente contra un camión, con el resultado de fallecimiento del conductor del mismo, por lo que era imposible reclamar al mismo ningún gasto ocasionado con ocasión de las lesiones producidas.
La estimación, recuerda el acuerdo entre el ISFAS y las entidades aseguradoras, concretamente la cláusula “2.6.- SALUD BUCODENTAL. Comprende las actividades asistenciales, diagnósticas y terapéuticas, así como aquellas de promoción de la salud, educación sanitaria y preventivas dirigidas a la atención a la salud bucodental.” y su apartado “D) Cuando medie accidente en acto de servicio o enfermedad profesional, serán a cargo de la Entidad todos los tratamientos y actuaciones, incluidas las prótesis dentarias y los implantes osteointegrados que se precisen, así como su colocación.”.
Desde Independientes de la Guardia Civil (IGC), festejamos esta estimación.
En Sede Central, a 22 de diciembre de 2021















